치아교정은 치아 본연의 기능 뿐만 아니라, 돌출입 등 심미성에도 영향을 미쳐 치아교정에 관심을 갖고 치과를 방문하는 분들이 많습니다.
최근에는 앞니부분교정 등 전체 교정이 아닌 필요한 부위만 치아교정을 통해서도 기능성과 심미성을 살릴 수 있는 방법이 인기 입니다.

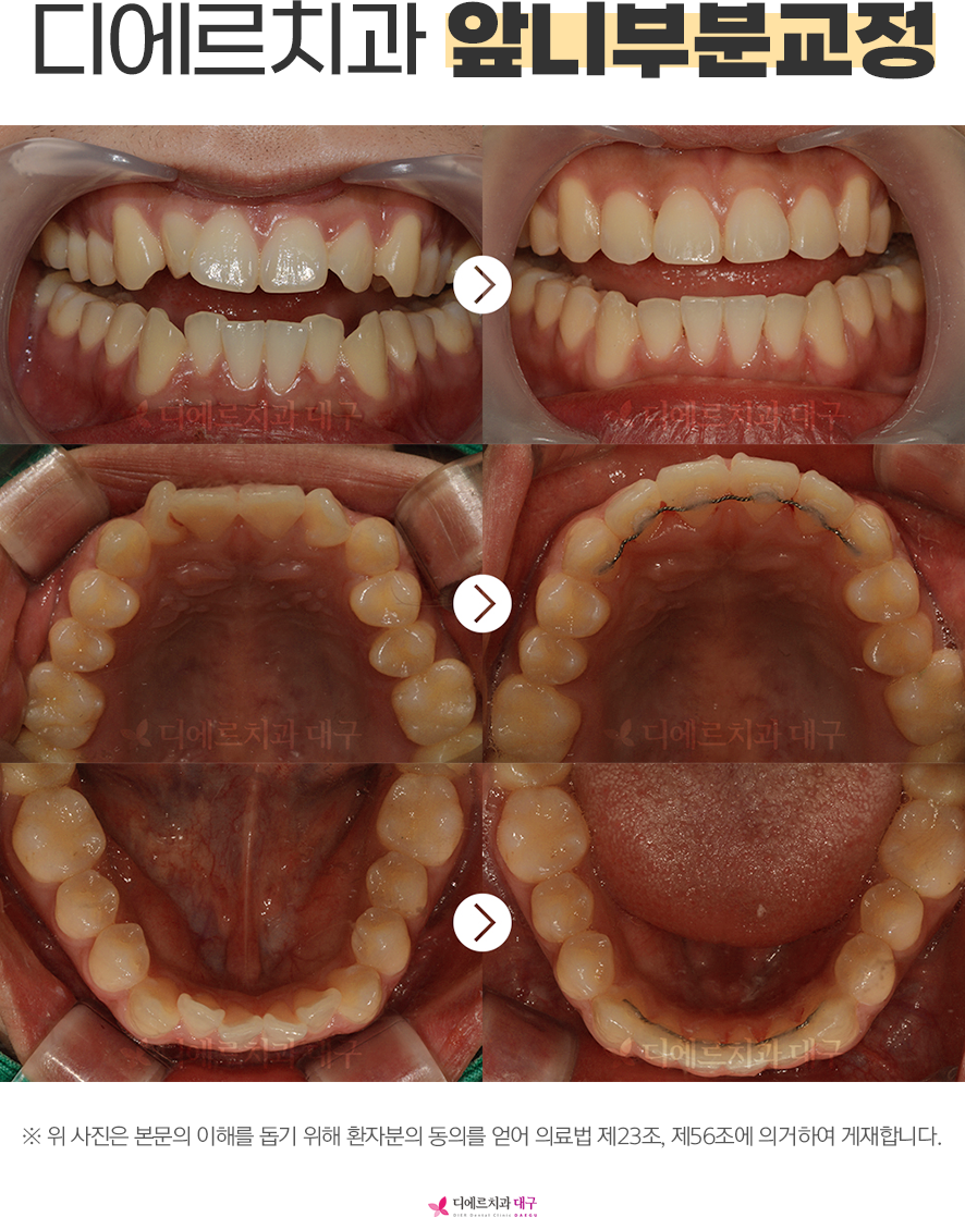
앞니교정은 앞니 부분의 일부 치아만을 가지런하게 만드는 치아교정 방법으로 빠른 기간 내 가지런한 앞니를 완성하고 교정을 완료할 수 있습니다.

전체 교정은 2년 정도의 오랜 기간이 걸려 부담스러울 수 있습니다. 이에 비해 앞니교정은 최소 3개월, 평균 6~8개월이면 완료할 수 있습니다. (교정 기간은 개인 치아의 상태에 따라 달라질 수 있습니다.)

발치하거나 어금니의 위치를 변경해야 해야 하는 전체 교정과 달리 앞니 부분교정은 앞니 위주로 치아를 움직이며, 윗니나 아랫니 중 한 군데만 교정 진행이 가능합니다.
일부 치아만을 교정하기 때문에 교정 기간 및 비용 부담을 줄일 수 있고, 교정 시 발생하는 불편함을 최소화합니다.

기존에 브라켓과 와이어를 고무줄이나 철사로 고정시키는 방법이 아닌 보다 효율으로 치아를 이동시키고 심미성이 좋은 장치를 이용합니다.
클립 형태의 자가 결찰 장치를 이용하여 치아 이동 시 발생하는 마찰력이 줄어 치아의 빠른 이동, 통증 최소화가 가능합니다.

자가결찰장치와 치아에 브라켓을 붙이지 않고 탈착이 가능한 장치를 이용하는 투명교정, 미니 튜브 형태의 MTA, 기존 설측 장치의 단점을 보완한 2D 설측 장치 중 선택이 가능합니다.

치아교정은 구강상태에 따라 교정 방법과 결과의 차이가 발생합니다. 충분한 정밀 검진과 식습관, 생활 습관 등을 파악하는 상담을 통해 치료 계획을 개인별 일대일 맞춤으로 진해 행하는 게 중요합니다.

무조건 짧은 교정 기간, 저렴한 비용 등을 보고 선택하기보다 개인별 맞춤 교정을 권장하며 교정 후에도 정기적으로 검진을 해주는 치과를 선택해야 합니다.
치아는 다시 원래의 자리로 되돌아가는 회귀 본능이 강하기 때문에 장치 제거 후에는 유지 장치를 착용하여 치아가 틀어지지 않도록 꾸준히 관리가 필요합니다.

교정 완료 후 유지 장치의 착용은 필수이며, 평소 안내받은 대로 착용 및 관리를 하며 6개월~1년마다 치과를 내원하여 검진을 받는 것이 좋습니다.
디에르치과는 교정 완료 후 주기적으로 리콜 체크를 통해 사후 관리 프로그램을 진행하고 있으며, 대표 원장님과의 종료 상담에서 치료 결과에 대해 자세히 설명해드립니다.

부분 교정은 임상 경험이 풍부한 치과를 선택하는 것이 좋으며, 담당의가 처음부터 끝까지 책임 진료를 진행하는지 반드시 체크해보아야 합니다.
디에르치과는 2008년 개원하여 계속 한자리에서 진료하고 있으며, 치료 중간에 의사가 바뀌지 않습니다.
20년 이상의 임상 경험을 지닌 대표 원장님께서 상담부터 교정이 완료되고 사후 관리까지 전 과정을 직접 진행합니다.


'예쁜 치아 만들기' 카테고리의 다른 글
| 대구치과잘하는곳 치아미백으로 치아색을 하얗게 (0) | 2024.08.05 |
|---|---|
| 대구라미네이트 치아성형 앞니 개선하는 방법 (1) | 2024.07.24 |
| 대구치아미백치과 하얗고 밝은 치아를 원한다면 (1) | 2024.07.04 |
| 대구치과추천 직접 확인하고 결정하는 무삭제 라미네이트 (0) | 2024.06.28 |
| 대구시내치과 라미네이트 최소 삭제로 안전하게 (0) | 2024.06.21 |


