
치아는 말을 하거나 웃을 때 드러나는 곳으로 외모적으로 중요한 역할을 하고 있습니다.
만약 치아가 틀어져 있거나 벌어져있는 경우, 색상이 변색된 경우라면 치아가 드러나는 게 망설여지고 콤플렉스로 이어질 수 있습니다. 특히 앞니는 가장 잘 보이는 치아로 앞니에 문제가 있다면 더욱더 신경이 쓰이게 됩니다.

라미네이트는 치아의 겉면을 소량 삭제하여 그 위에 세라믹팁으로 만든 인조 치아를 제작하여 덧붙이는 것을 말합니다.
치아의 배열은 물론 모양, 크기, 각도, 색상 등을 바꿀 수 있어 대표적인 치아성형이라 할 수 있습니다.
치아의 손상이나, 변형, 변색 등으로 치아가 올바른 기능을 하지 못하거나 심미적으로 만족스럽지 못할 때, 기능적인 문제를 해결하고 심미적인 부분을 개선할 수 있습니다.

앞서 말했듯이 치아교정은 2년 이상의 오랜 기간이 소요됩니다.
비교적 빠르게 교정이 가능한 부분교정도 있지만, 최소 3개월이 걸립니다.
라미네이트는 10일 정도 2회 내원이면 치료가 완료되기 때문에 빠르게 치아를 개선할 수 있습니다.

라미네이트는 외모개선 등 심미적인 목적뿐만 아니라, 충치 치료에도 훌륭한 치료입니다.
충치를 제거하고 주로 치아색과 유사한 레진을 이용하여 치료합니다.
그 외에도 깨진 앞니, 크기가 너무 작거나 큰 치아, 치아 변색이 심해 미백으로 효과를 보지 못하거나 앞니 사이에 생긴 충치 등 교정으로는 해결하기 어려운 치아 문제도 라미네이트를 적용하여 앞니를 깔끔하게 만들어 줄 수 있습니다.

라미네이트는 다른 앞니 보철들과 비교했을 때, 치아 삭제량이 적다는 것이 장점입니다.
치아는 재생되지 않아 한번 손상되거나 삭제하면 복원되지 않으며 삭제한 부분을 다시 되돌릴 수 없습니다.
때문에 치아성형술 뿐만 아니라 충치로 인해 치아가 삭은 부위도 복원되지 않습니다.
치아를 고려하지 않고 무분별하게 치아 삭제를 하게 된다면 시림 및 통증 등의 부작용이 일어날 수 있습니다.

이런 걱정 없이 치아 성형을 할 수 있는 방법이 바로 무삭제 라미네이트입니다.
무삭제 라미네이트는 치아를 삭제하지 않고 자연 치아를 살리며 가지런하고 깨끗한 치아로의 개선이 가능합니다.
단, 무삭제 라미네이트는 치아 상태에 따라 불가능할 수 있으므로 정밀 검진 및 상담이 필요합니다.

디에르치과는 대표 원장님과의 1:1 상담 시간에서 치아 삭제량을 직접 결정할 수 있으며, 라미네이트를 부착하기 전 치아 재제작이 가능합니다.

라미네이트는 주로 앞니에 적용하기 너무 하얗거나 단일 색상으로만 만들면 부자연스러울 수 있으므로 자연 치아와 비슷한 톤으로 맞추어 자연스럽게 제작해야 합니다.
디에르치과는 강남 소재의 라미네이트 전문 기공소를 이용하여 수공예 라미네이트로 제작합니다.
자연 치아의 색상과 투명도를 재현하여 보다 자연스럽고 잇몸이 검게 변색되지 않도록 인체 친화력이 높은 재료를 사용하며, 디에르만의 접착 시스템으로 파절 및 탈락을 최소화합니다.

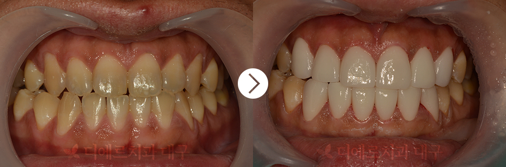
디에르치과에서 10년 전 라미네이트 치아성형을 진행하신 분의 치아 사진입니다.
최소 삭제와 수공예 라미네이트로 진행하였고, 10년이 지났음에도 잇몸 변색이나 치아 파절 및 탈락 없이 깨끗하게 잘 유지하고 계십니다.

단순 예쁜 치아만을 만드는 것이 아니라 치아의 건강을 해치지 않고 올바르게 제 기능을 할 수 있도록 해야 효과적이고 만족스러운 라미네이트 치료라고 할 수 있습니다.

디에르치과는 환자분의 자연 치아 색상과 형태에 맞게 제작할 수 있도록 원장님과의 충분한 상담 및 진단 후 맞춤형 라미네이트를 제작하여 진행합니다.
오랜 경력과 임상 경험을 지닌 원장님과 의료진이 환자분의 입장에서 먼저 생각하고 진료하고 있습니다.




'예쁜 치아 만들기' 카테고리의 다른 글
| 대구치과추천 치아 상실 후 임플란트로 (0) | 2023.06.08 |
|---|---|
| 대구 교정 잘하는 치과 앞니만 빠르게 가지런히 (0) | 2023.06.02 |
| 대구시내치과 대표 원장님 직접 진료 치아교정 (1) | 2023.05.18 |
| 대구치과교정 가지런한 앞니를 원한다면 (0) | 2023.05.12 |
| 대구치과병원 1:1 맞춤 라미네이트 (0) | 2023.05.08 |


